Előtte-utána esettanulmányok

Referencia

Fogászati kezeléseink

Egy szép mosoly több, mint esztétikai élmény; hatalommal bír, amely önbizalmat és önfeledtséget ad. A Czinkóczky Implant Központ elkötelezett abban, hogy pácienseink újra önfeledt önmaguk lehessenek, minden élethelyzetben.

Esettanulmányaink magukért beszélnek

Esettanulmányaink azt a célt szolgálják, hogy meggyőzödhessen szolgáltatásaink minőségéről, illetve motivációt nyerjen saját kezelésének megkezdéséhez.

Tekintse meg előtte/utána képeinket, és győződjön meg arról, milyen hatással bír egy egészséges mosoly. Minden kép egy-egy történethez fűződik, amikor pácienseink életébe visszahoztuk az önfeledtséget, önbizalmat és boldogságot. Bízunk benne, hogy a képek inspirációt adnak Önnek is, hogy elinduljon a változás útján.

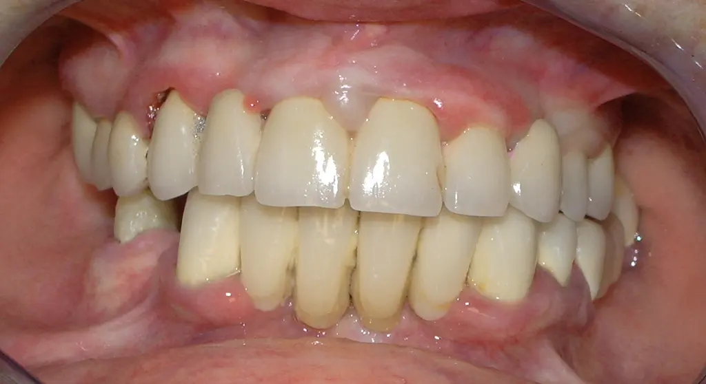
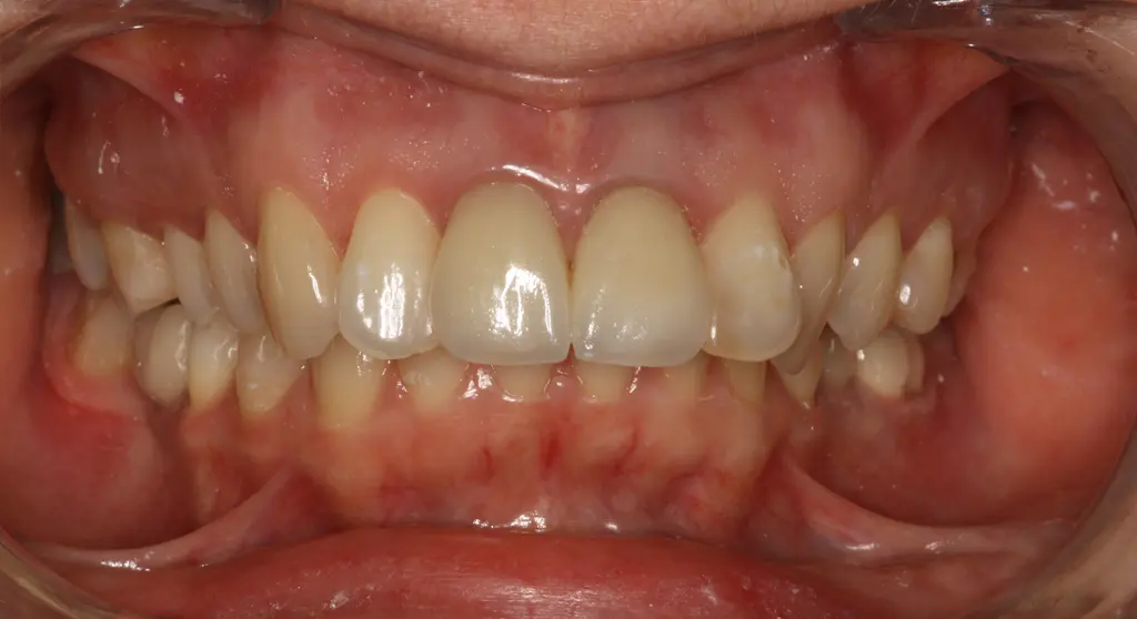
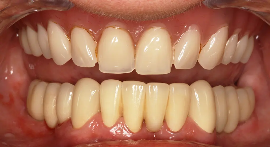
68 éves nő páciens

Probléma

A felső állcsonton csak a két felső nagymetsző volt megtartott, míg az alsó állcsonton sorközi és sorvégi hiányok voltak láthatóak. A meglévő fogak körüli tartószerkezet az előrehaladott fogágy-betegség miatt meggyengült. A felső foghiány pótlására műanyag lemezes fogsort viselt a páciens.

Megoldás

A felépítésre alkalmatlan állapotú fogak eltávolítását követően a fogatlanná vált felső állcsontba 4 implantátumot helyeztünk be.
A beavatkozást követő 3 hónapos gyógyulási idő leteltét követően egy stégen (merevítőrúd) rögzülő kivehető, fémlemezes fogpótlást készítettünk.
Az alsó állcsonton a 3 megmaradt, felépítésre alkalmas fogakra, egy teleszkópos elhorgonyzású kivehető, fémlemezes fogpótlást készítettünk.

Előtte
Utána

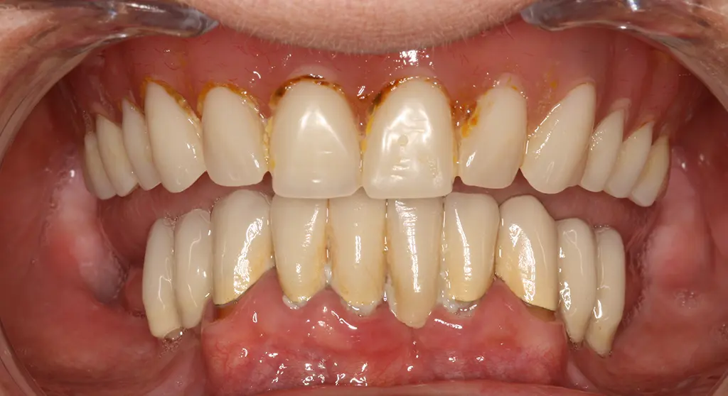
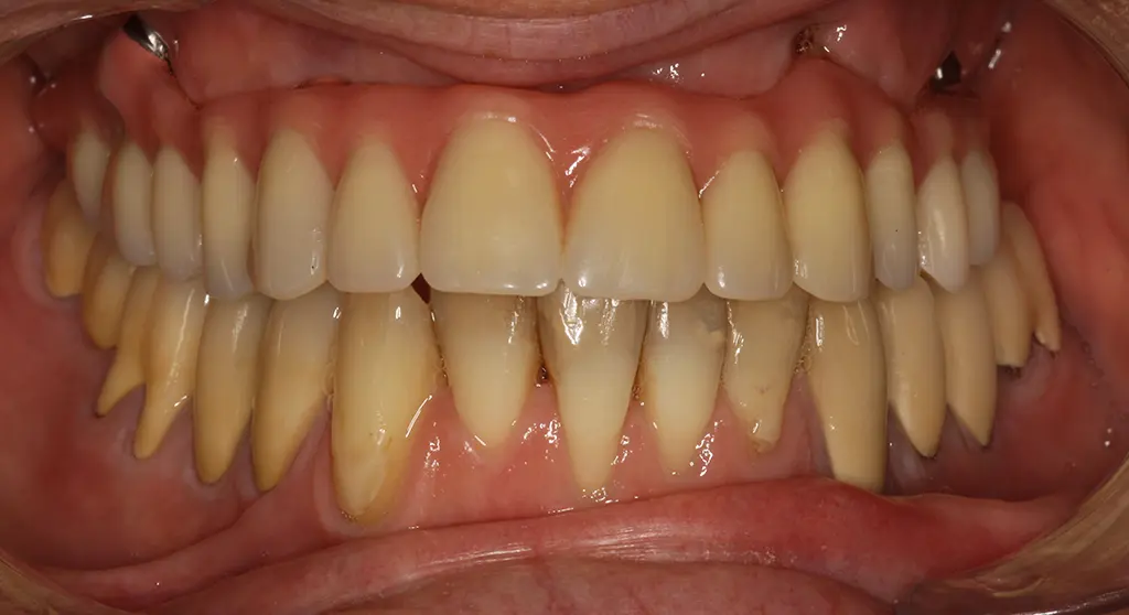
53 éves nő páciens

Probléma

Az előrehaladott fogágy-gyulladás miatt, a meglévő fogak nagymértékben mozgathatóvá váltak a meggyengült tartószerkezet miatt. A nagyfokú fogmozgathatóság megkeserítette a páciens életét, lehetetlenné tette a táplálkozást, a beszédet, nem mellesleg állandó fájdalmat, elfogadhatatlan esztétikai megjelenést, valamint kellemetlen leheletet okozott.

Megoldás

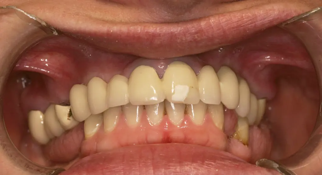
A felépítésre alkalmatlan fogak eltávolítását, majd a 8-10 hetes gyógyulási idő leteltét követően az alsó és felső állcsontokba 4-4 implantátum került behelyezésre. A csontpótlás elkerülése érdekében, valamint rögzített, de ehhez mérten „kevesebb” implantátum behelyezése céljából All On Four hídprotézis készítése mellett döntöttünk. A beavatkozást követően 3 hónapos gyógyulási idő után, egy alsó és felső 12-12 tagú titán vázas All On Four rögzített hídprotézist készítettünk. Természetesen a foghúzásokat követően azonnal ideiglenes pótlásokat készítettünk a páciensnek, amit a végleges fogművek elkészültéig folyamatosan viselhetett.

Előtte
Utána

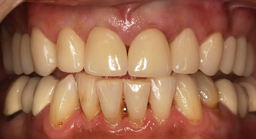
47 éves nő páciens

Probléma

A felső fogak tartószerkezetét nagyfokú fogágy-gyulladás rendkívül meggyengítette. A nagyfokú fogmozgathatóság lehetetlenné tette a táplálkozást, a beszédet, nem mellesleg állandó fájdalmat, rendkívül kedvezőtlen esztétikai megjelenést, valamint kellemetlen leheletet okozott.

Megoldás

A fogak eltávolítást követően azonnal ideiglenes fogsorokat készítettünk. A csontpótlás elkerülése érdekében, valamint rögzített, de ehhez mérten „kevesebb” implantátum behelyezése céljából All On Four hídprotézis készítése mellett döntöttünk. A foghúzást követően 8-10 hetes gyógyulási időre volt szükség, míg az alsó és felső állcsontokba behelyezésre került 4-4 implantátum. Az implantációt követően 3hónapos gyógyulási idő leteltét követően kezdődött meg az alsó és felső állcsontra, egyéni értékek alapján 12-12 tagú mikrocsavarokkal rögzülő, rögzített hídprotézis készítése.

Előtte
Utána

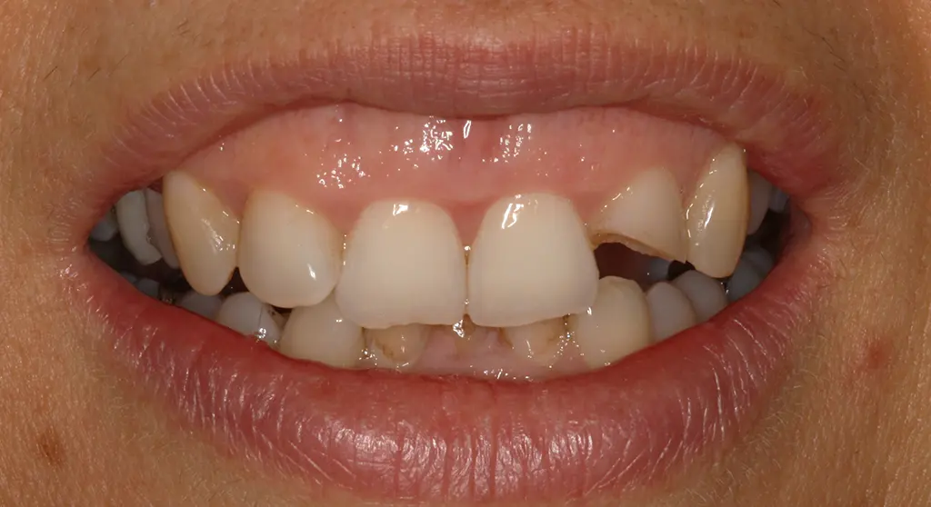
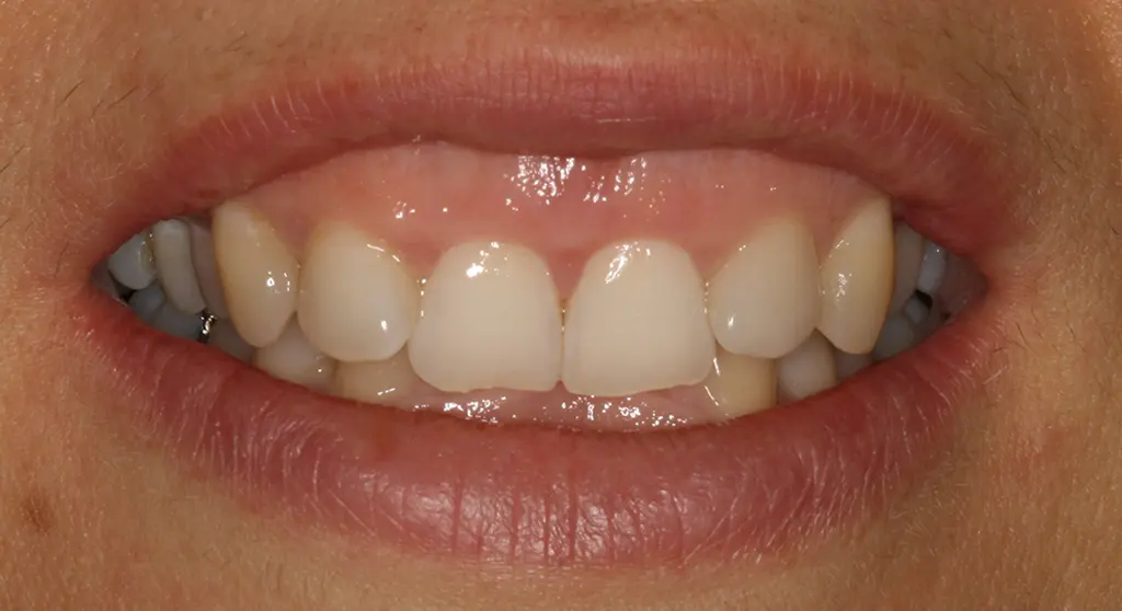
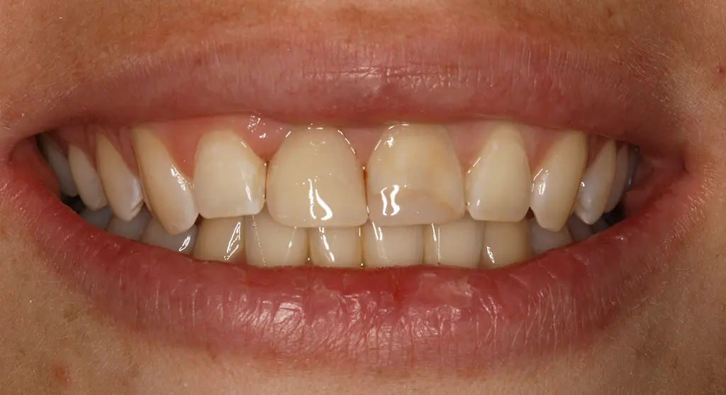
30 éves nő páciens

Probléma

A felső frontfogak közötti rés, valamint a fogak tengelyállásának korrekciója miatt fordult hozzánk a páciens. A nagymetszők épek voltak, de kismetszőkben nagy kiterjedésű elálló szélű töméseket találtunk. A páciens emellett nem volt megelégedve a fogai színével sem.

Megoldás

Professzionális dentál higiéniai kezelést követően került sor a rendelői fogfehérítésre, mely során 7 árnyalatnyi fehéredést értünk el. Az esztétikai korrekciót a 4 metszőfog lecsiszolásával, valamint a nagymetszőkre készülő porcelán héjakkal és a kismetszőkre készülő porcelán koronákkal oldottuk meg. A készülő pótlások színét az új fehérített színhez választottuk. A fogak előkészítést követően rögzített ideiglenes pótlást készítettünk a rendelőben, amit azonnal rögzítettünk is, hogy a páciens egy percig se legyen fog nélkül.

Előtte
Utána

37 éves nő páciens

Probléma

A felső állcsonton viselt körhíd alatt elszuvasodtak a „tartó” pillérfogak, így a híd lemozdult, és a fogak rendkívül rossz állapota miatt, nem is lehetett többé visszahelyezni.

Megoldás

Megmaradt fogak eltávolítását követően a felső állcsonton teljes fogatlanság állapota lépett fel. Mivel a páciens mindenképp ragaszkodott egy rögzített fogpótlás készítéséhez, ezért implantátumok behelyezést terveztük. Az implantációt megelőzően, a megfelelő mennyiségű csontkínálat biztosításra csontpótló beavatkozásra került sor (saját csontból). A csontpótlást követően 6 hónapos gyógyulás után kerülhetett behelyezésre a 7 darab implantátum. Természetesen a foghúzásokat követően azonnal egy ideiglenes kivehető fogsort készítettünk, amit a páciens folyamatosan viselhetett. Az implantátumok behelyezését követően 2 hónapos gyógyulás után egy rögzített, felcsavarozható ideiglenes hidat készítettünk, hogy a hosszú ideje viselt kivehető fogsor okozta kellemetlenségeket kiküszöböljük. Az implantációtól számított 3-4 hónapos gyógyulási idő leteltével kezdtük meg a végleges fogpótlás készítését, mely ez esetben egy 14 tagú fémmentes, cirkónium-dioxid vázas, porcelán leplezésű híd volt.

Előtte
Utána

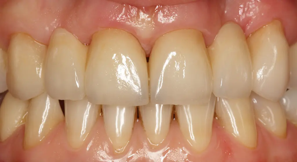
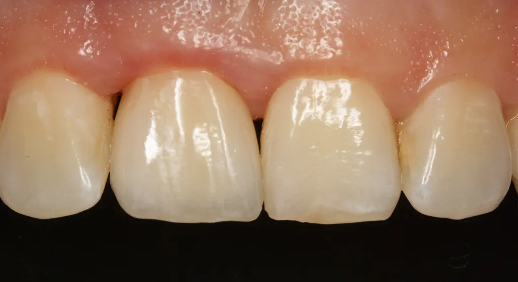
24 éves nő páciens

Probléma

A jobb felső nagymetsző elszíneződése a pár évvel korábban készült gyökértömés következtében alakult ki.

Megoldás

A régi, már nem jól záró gyökértömés miatt a fog újbóli gyökérkezelése mindenképp szükségessé vált. A gyökértömés elkészítése után a fogat belső fehérítéssel világosítottuk. Ezt követően a két nagymetszőt két szóló, kerámia koronával borítottuk.
A kezelések alatt sor került az összes fog rendelői fehérítésére is, hogy a készülő új koronák színét ehhez tudjuk igazítani.

Előtte
Utána

28 éves nő páciens

Probléma

A felső nagyőrlők az alsó foghiány miatt kinőttek a rágósíkjukból, ezzel esztétikai és funkcióbéli problémát okozva a páciensnek.

Megoldás

A két „kinőtt” fog eltávolítását követően az alsó és felső első nagyőrlők helyére 1-1 implantátum került behelyezésre. A beavatkozást követő 3 hónapos gyógyulási idő leteltével, az implantátumokra egy-egy szóló korona készült fémmentes technológiával (cirkónium-dioxid vázra), a még magasabb esztétikai eredmény elérése céljából.

Előtte
Utána

35 éves nő páciens

Probléma

A páciens a két felső nagymetszőn 1-1- régi fémkerámia koronát viselt. A koronák elálló szélei – az állandó ételbeékelődés miatt – komfortbeli, valamint a kedvezőtlen szín miatt állandó esztétikai problémát okozott páciensünk számára.

Megoldás

A régi koronák eltávolítását, valamint a fogak preparálását követően új, fémmentes kerámia koronákat készítettünk. Természetesen a kezelés ideje alatt ideiglenes koronákat készítettünk, hogy a páciens egy percig se legyen fog nélkül.

Előtte
Utána

76 éves nő páciens

Probléma

A felső állcsonton viselt körhíd pillérfogai a hídpótlás alatt teljesen elszuvasodtak, minek következtében eleinte állandó ételbeékelődésre és kellemetlen leheletre lett figyelmes a páciens, majd a híd mozgathatóvá vált, mely már komoly komfortbeli problémákat is okozott.

Megoldás

Az elkészült röntgenfelvétel és szájvizsgálat során egyértelművé vált, hogy a hidat tartó fogak állapota, azok további megtartását nem teszik lehetővé. A híd és a fogak eltávolítását követően ideiglenes fogsort készítettünk a páciensnek, amit a végleges pótlás elkészültéig folyamatosan viselt.
A foghúzások utáni gyógyulási idő leteltével 4 implantátum került behelyezésre a felső állcsontba, majd a beavatkozást követő 3 hónapos gyógyulási idő leteltével egy 12 tagú titán vázas rögzített hídprotézis készítettünk (All On Four koncepció).
Az alsó állcsonton az elégtelen széli záródású híd állandó ínygyulladást tartott fenn. A felső kezelések ideje alatt az alsó híd is cserére került.

Előtte
Utána

58 éves nő páciens

Probléma

A felső állcsonton oldalsó régiójában viselt hídpótlások elálló széle állandó ételbeékelődést, ínygyulladást és kellemetlen leheletet, míg az elülső frontfogak esztétikai problémát okoztak a páciensnek.

Megoldás

A régi hídpótlások eltávolítást, valamint a fogak előkészítést követően új hidakat készítettünk, amit a lehető legtöbb helyen megosztottunk, hogy könnyebben tisztítható területeket, felületeket hozzunk létre. A frontfogakat esztétikus koronákkal borítottuk. A pótlások esztétikus, fémmentes préskerámiából készültek a legmagasabb szintű esztétikai eredmény elérése céljából.

Előtte
Utána

45 éves férfi páciens

Probléma

A jobb felső kismetsző hiánya, valamint a fogak kedvezőtlen tengelyállása esztétikai problémát jelentetett páciensünk számára.

Megoldás

A frontfogak előkészítést követően esztétikus, fémmentes préskerámia 3 tagú hidat és 2 szóló koronát készítettünk. Természetesen a fogak előkészítést követően ideiglenes koronákat készítettünk, hogy a páciensünk a kezelés ideje alatt ne legyen fog nélkül.

Előtte
Utána

26 éves nő páciens

Probléma

A frontfogak ellátatlan szuvasodása állandó érzékenységet és esztétikai zavart okozott páciensünk részére.

Megoldás

A fogak ellátására – a kiterjedt tömésekkel történő fogfelépítés helyett – esztétikus koronák készítését javasoltuk.
A legmagasabb esztétikai eredmény elérése érdekében a koronák fémmentes, préskerámia technológiával készültek.
A fogak előkészítést követően a kezelés befejezéséig ideiglenes koronákat készítettünk, hogy páciensünk egy percig se legyen fog nélkül.

Előtte
Utána

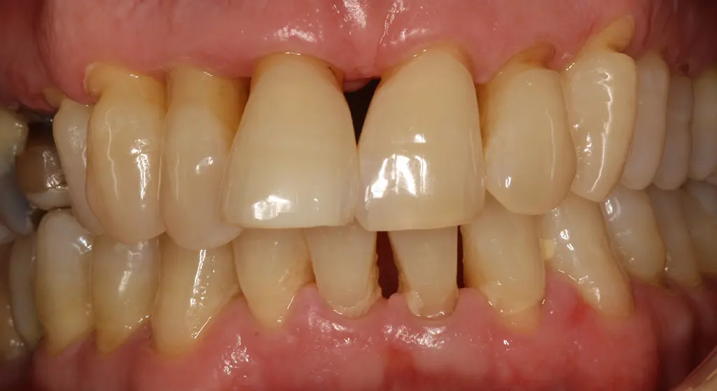
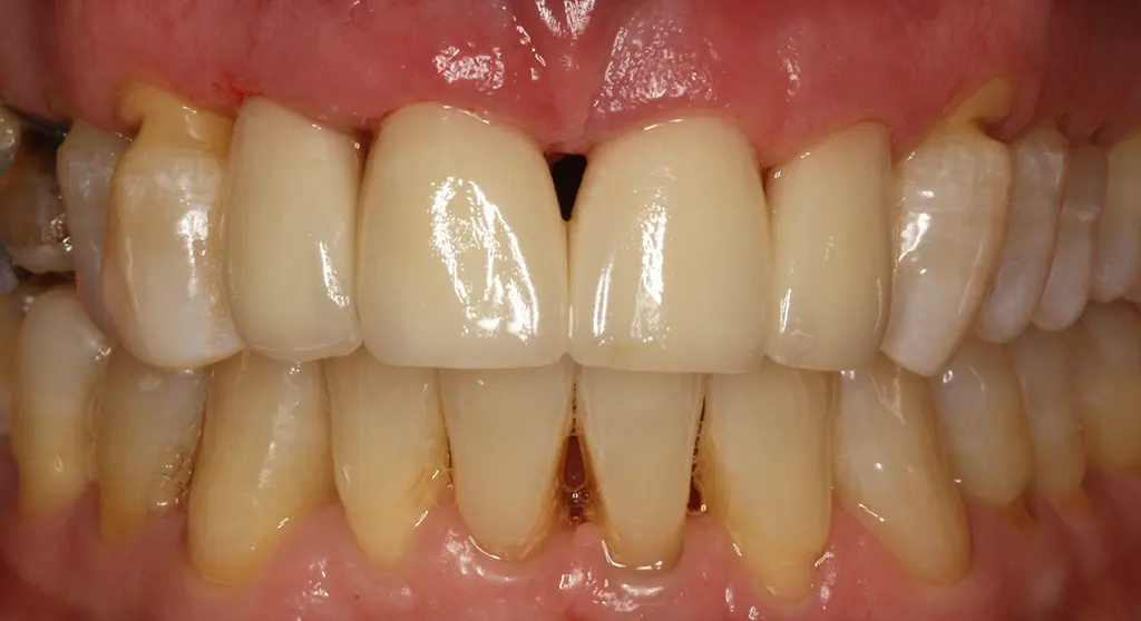
47 éves nő páciens

Probléma

A felső állcsonton viselt régi hídpótlás alatt lévő pillérfogak tartószerkezete az állandó ínygyulladás miatt jelentősen meggyengült, melynek következtében a híd a fogakkal együtt mozgathatóvá vált. A pótlás rágósíkjának lejtése miatt esztétikai problémát is jelentett a páciens számára. A jobb oldalon a rágófogak területén régóta foghiány állt fenn.

Megoldás

A híd és a felépítésre alkalmatlan fogak eltávolítását követően kialakult foghiány pótlására 4 implantátum került behelyezésre, melyre a gyógyulási időt (3 hónap) követően 9 tagú hídpótlást készítettünk. A bal oldalon megmaradt 3 fogra egy 5 tagú híd készült. Az új felső fogpótlások készítésével sikeresen megemeltük a korábbi foghiányok miatt kialakult mélyharapást.
A foghúzásokat követően azonnal ideiglenes fogpótlást adtunk át a páciensnek, amit egészen a kezelések befejezéséig viselt.

Előtte
Utána

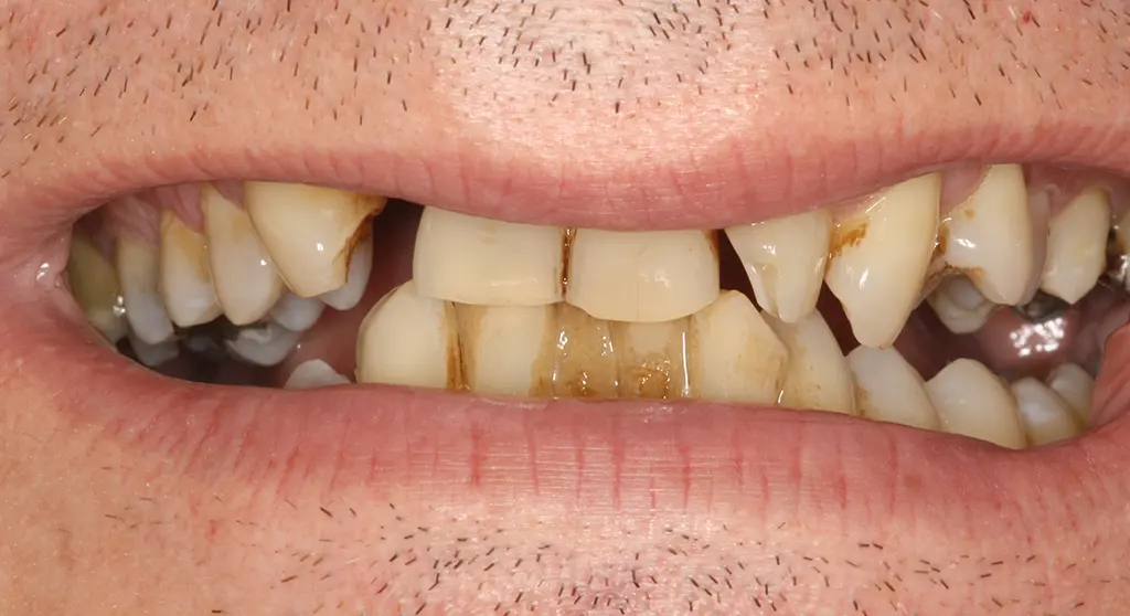
56 éves férfi páciens

Probléma

A felső metszőfogak szabálytalan tengelyállása (előre és oldalra dőlő fogak) esztétikai problémát jelentett páciensünk részére.

Megoldás

Az esztétikai korrekció céljából – a legkevesebb foganyag feláldozása mellet – esztétikus héjakkal borítottuk a fogakat. A legmagasabb szintű esztétikai eredmény elérésére a héjak fémmentesen, kerámiából – préseléses technikával – készültek.

Előtte
Utána

55 éves férfi páciens

Probléma

A jobb alsó régióban viselt régi fémkerámia hídpótlás cseréje, a kedvezőtlen esztétika, az elálló koronaszélek és a visszahúzódott ínyvonal miatt mindenképp időszerűvé vált.

Megoldás

A régi pótlást eltávolítottuk, majd a fogak vállas preparálását követően új, hagyományos fém vázra égetett porcelán leplezésű pótlást készítettünk. Mivel az anatómiai helyzet, valamint a fogak teherbíró képessége, és száma lehetővé tette, nem egy 5 tagú hidat készítettünk, hanem a kedvezőbb esztétikai eredmény és a könnyebb tisztíthatóság érdekében a két kisőrlőt egy-egy szóló koronával borítottuk, a hiányzó második nagyőrlő hiányát pedig egy 3 tagú híddal pótoltuk.

Előtte
Utána

62 éves nő páciens

Probléma

A felső állcsonton régi kivehető protézis már nem megfelelő rögzítettsége (mely már csak fogsorrögzítő ragasztóval, vagy azzal sem maradt a helyén), valamint kedvezőtlen esztétikája szükségessé tette annak cseréjét.

Megoldás

A teljes foghiányt, a páciens kérésére implantáció nélkül pótoltuk, új teljes lemezes kivehető fogpótlás készítésével. Az új fogsorral sikeresen megemeltük a megsüllyedt harapást, a páciens kívánságának megfelelően alakítottuk a pótlás esztétikáját, valamint kihasználva a jól megtartott anatómiai szituációt, kiválóan rögzülő új pótlást készítettünk.

Előtte
Utána

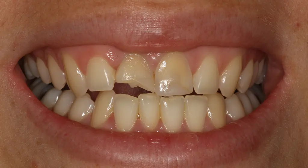
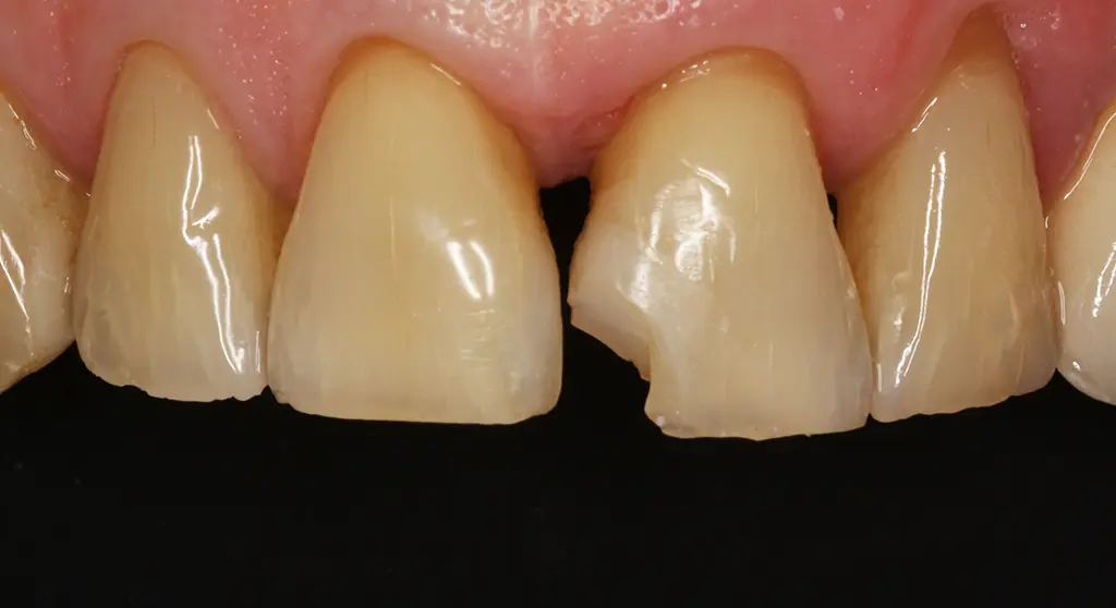
42 éves nő páciens

Probléma

Baleset során a bal felső kismetsző éli része letörött. A fog esztétikai korrekciója szükségessé vált.

Megoldás

A fog esztétikai korrekciójára kerámia héjat készítettünk. Ennél a technológiánál nem kell a fog minden oldalát megpreparálni, a pótlás a fog elülső és éli részéhez rögzül.

Előtte
Utána

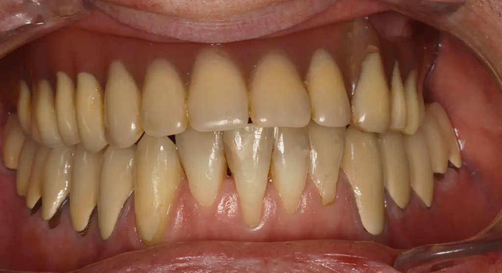
60 éves nő páciens

Probléma

Az alsó frontfogakat összekötő híd mind funkcióban, mind esztétikában kedvezőtlen. Az oldalsó hiányok szabadvégekkel pótoltak, melyek a megmaradt fogak túlterheléséhez vezetett.

Megoldás

A régi híd eltávolítását követően új rögzített fémmentes (cirkónium-dioxid vázas) pótlást készítettünk. A szemfogakra 1-1- szóló koronát, míg a bal alsó foghiány pótlására egy 4 tagú hidat készítettünk. A pótlás több helyen történő megosztása kedvezően befolyásolja az esztétikai funkciót, valamint könnyebb tisztíthatóságot tesz lehetővé.
Az oldalsó sorvégi foghiányokat mindkét oldalon 2-2 implantátum behelyezésével és az arra készülő szintén fémmentes hidakkal pótoltuk.

Előtte
Utána

41 éves nő páciens

Probléma

Jobb felső kismetszőben lévő nem jól záró tömések alatt másodlagos szuvasodások alakultak ki.

Megoldás

A régi tömés eltávolítását követően a fogat új töméssel direkt felépítettük. Egyúttal a fog hosszán, formáján és tengelyállásán is változtattunk.

Előtte
Utána

61 éves nő páciens

Probléma

A bal felső nagymetszőben lévő, a fog oldalsó és éli részre is ráterjedő tömés letörött.

Megoldás

A maradék tömőanyag eltávolítását és gondos előkészítését követően, a fog esztétikus töméssel került újra felépítésre.

Előtte
Utána

39 éves nő páciens

Probléma

Régi front fogakon viselt fémkerámia hídpótlás széle és esztétikája már nem megfelelő, cseréje szükségszerű.

Megoldás

A régi fogmű eltávolítását és a fogak átpreparálását követően 2 darab 3 tagú hídpótlást készítettünk. Mivel csak a kismetszők hiányoztak, egy foghiány esetében bátran alkalmaztuk, a váz nélküli, a préseléses technikával készülő fémmentes kerámia pótlásokat.

Előtte
Utána

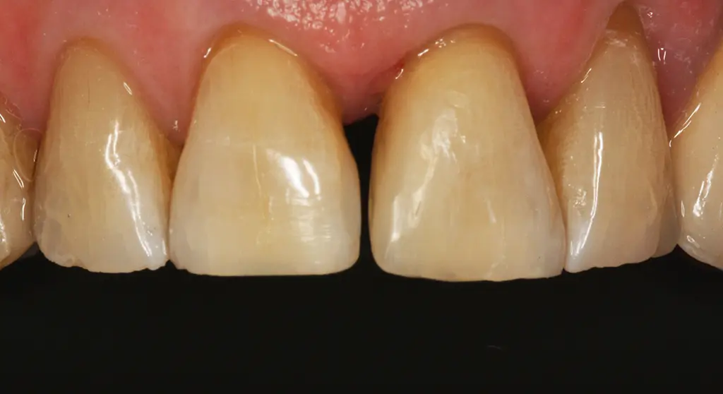
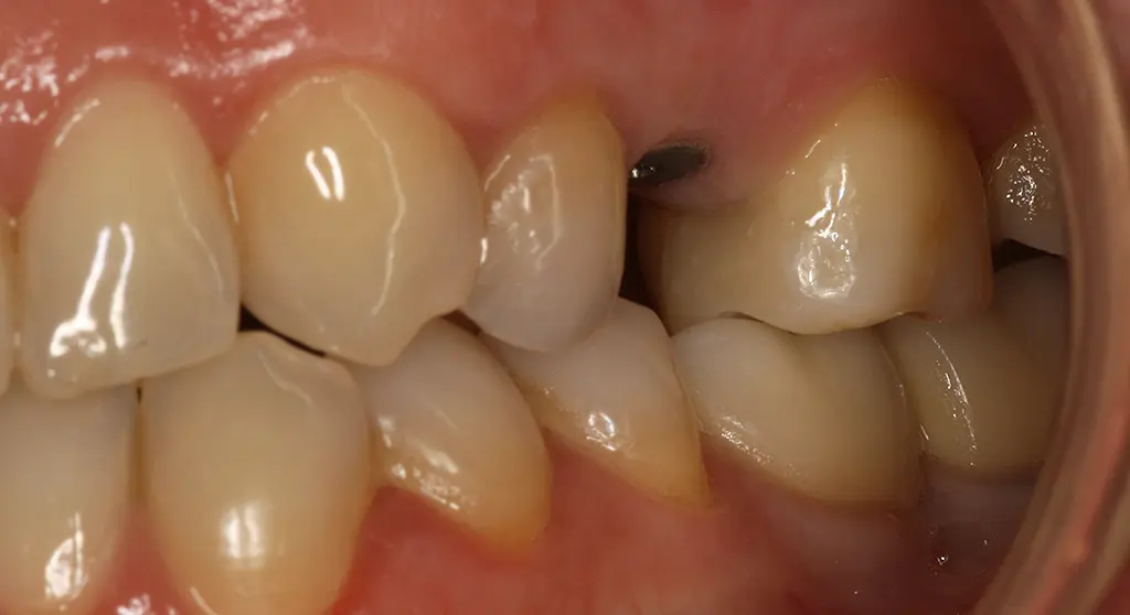
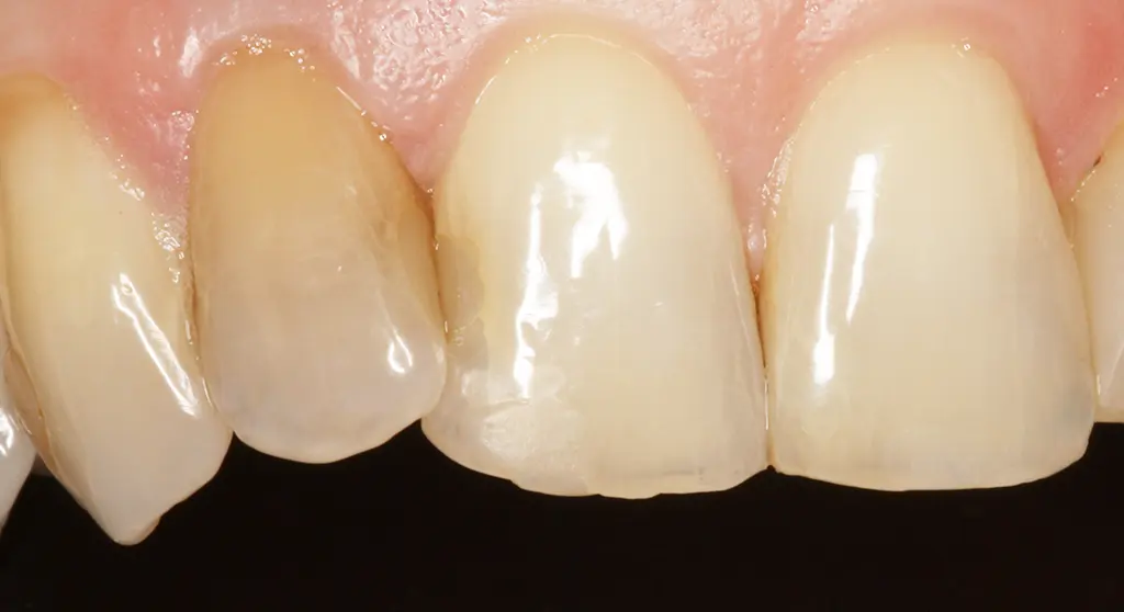
44 éves nő páciens

Probléma

A bal felső nagymetsző helyére korábban behelyezett implantátum nyaka körül lebomlott a csont és visszahúzódtak a lágyrészek, de az implantátum stabilitása megmaradt. A kedvezőtlenné vált esztétika korrekciója halaszthatatlanná vált.

Megoldás

A lágyrész és csontpótlást követően, a gyógyulás idejére, a régi fémkerámia korona helyére ideiglenes koronát készítettünk. A gyógyulási periódus leteltével új fémmentes korona készítését tervezzük. A fénykép még csak az ideiglenes koronával készült, de a változás már így is kielégítő esztétikai eredményt biztosít.

Előtte
Utána

23 éves nő páciens

Probléma

A korábban többször is felépített nagymetszők közül a jobb oldali törése halaszthatatlan esztétikai problémát okozott viselőjének.

Megoldás

A fogak esztétikus töméssel építettük fel, mely átmenetileg kielégítő esztétikát nyújtott. Végleges megoldásként azonban mindenképp koronák vagy héjjak készítést javasoljuk, a kiterjedt foganyag veszteség miatt.

Előtte
Utána

42 éves férfi páciens

Probléma

A jobb felső második nagyőrlőben lévő tömés alászuvasodott, valamint meg is sérült, ezért cseréje szükségessé vált.

Megoldás

A fogban lévő régi tömés eltávolítását követően, a nagymértékű foganyag veszteség miatt nem javasoltuk a fog újbóli tömését. A fogat esztétikus betéttel építettük fel (E-max préskerámia).

Előtte
Utána

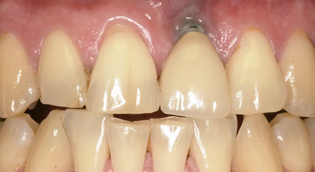
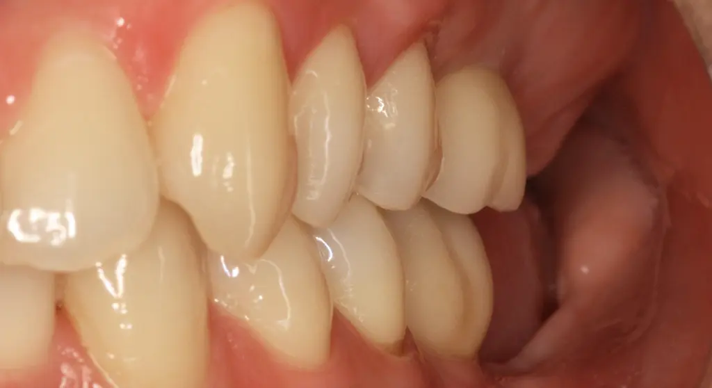
46 éves nő páciens

Probléma

A bal felső második kisőrlő korábban eltávolításra került. Az így kialakult hiányt, a páciens kérésére, a fogak lecsiszolásának elkerülésével terveztük pótolni.

Megoldás

A foghiány helyére egy implantátumot helyeztünk be. A beavatkozást követő 3 hónapos gyógyulási idő leteltével, egy fémmentes, cirkónium-dioxid vázas koronát készítettünk, mely csavarozott technikával, közvetlenül az implantátumhoz rögzítettünk.

Előtte
Utána

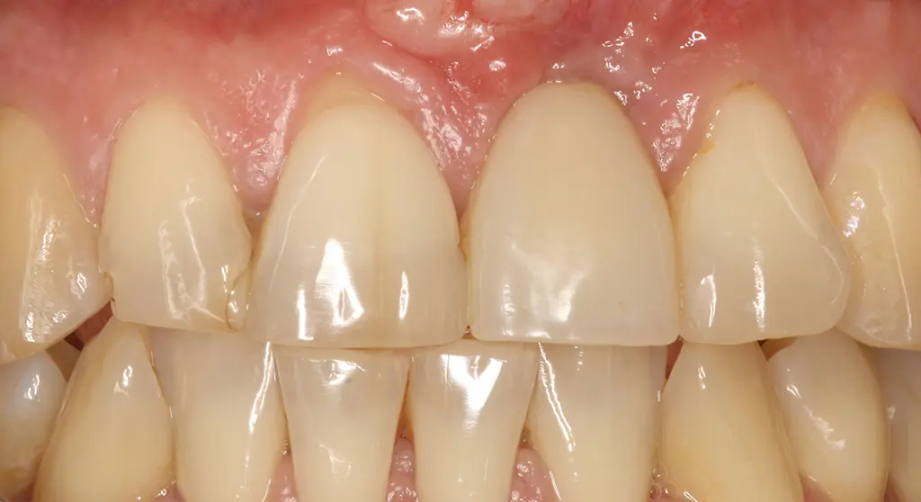
27 éves nő páciens

Probléma

Az évekkel korábban sérült jobb felső nagymetsző törött felszíne tömőanyaggal lett felépítve, mely kedvezőtlen esztétikája nagyon zavarta a pácienst.

Megoldás

A fog felépítésére szolgáló tömés eltávolítását, majd a fog előkészítését követően kerámia koronát készítettünk.

Előtte
Utána
Czinkóczky Implant Központ recepció

Lépjen velünk kapcsolatba!

Ha Ön is egy szebb, egészségesebb mosolyra vágyik, ne habozzon kapcsolatba lépni velünk. Szakképzett fogorvosaink és szájsebészeink készséggel állnak rendelkezésére, hogy megtervezzék az Ön egyedi igényeinek megfelelő kezelést.